OCAD MSK

History

52 y/o female fell skiing 6 months ago

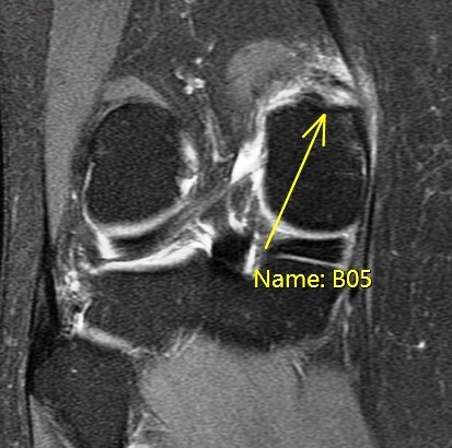
Figure 1 for case Partial tear of the tendon of the medial head of the gastrocnemius muscle ( RID2921 )
Figure 1
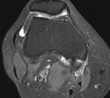
Figure 2 for case Partial tear of the tendon of the medial head of the gastrocnemius muscle ( RID2921 )
Figure 2
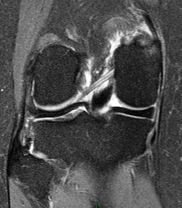
Figure 3 for case Partial tear of the tendon of the medial head of the gastrocnemius muscle ( RID2921 )
Figure 3
Figure 4 for case Partial tear of the tendon of the medial head of the gastrocnemius muscle ( RID2921 )
Figure 4
Figure 5 for case Partial tear of the tendon of the medial head of the gastrocnemius muscle ( RID2921 )
Figure 5
Figure 6 for case Partial tear of the tendon of the medial head of the gastrocnemius muscle ( RID2921 )
Figure 6

Discussion

Partial tear of the origin.

Diagnosis

Partial tear of the tendon of the medial head of the gastrocnemius muscle ( RID2921 )

Phillip Tirman, MD
Courtesy