OCAD MSK

History

31F 5 years pain, evaluate sesamoid AVN

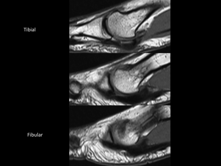
Figure 1 for case fibular sesamoid of metatarsal head ( RID2990 )
Figure 1
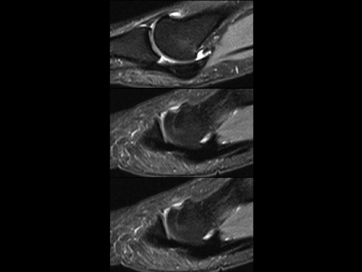
Figure 2 for case fibular sesamoid of metatarsal head ( RID2990 )
Figure 2
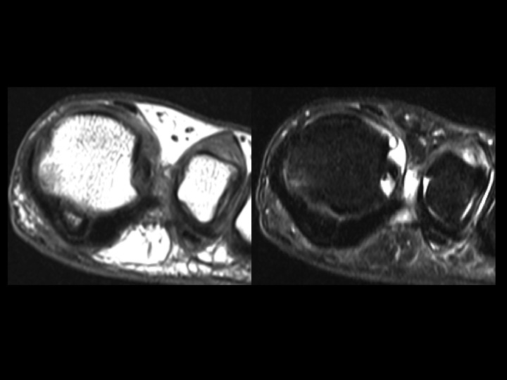
Figure 3 for case fibular sesamoid of metatarsal head ( RID2990 )
Figure 3
Figure 4 for case fibular sesamoid of metatarsal head ( RID2990 )
Figure 4
Figure 5 for case fibular sesamoid of metatarsal head ( RID2990 )
Figure 5

Discussion

In the AP XR, the fibular sesamoid is not visible, but in the sesamoid view, its diminutive, smooth and not sclerotic. This leads me to believe that this is marked hypoplasia rather than AVN. Hallucal sesamoid variants are common. Aplasia is uncommon. Hypoplasia is not rare, but this degree of hypoplasia seems unusual. Based on the images, it seems there is compensatory thickening of the fibular portion of the plantar plate (sesamoids are embedded in the plantar plate). Structures stay where they are supposed to be: the tibial sesamoid is located and the FHL is midline in the short axis image. Shes had pain for 5 years....which I cannot explain, other than to say that normal variants may be symptomatic. The attached article is a little crazy, check it out. Reference article.

Diagnosis

fibular sesamoid of metatarsal head ( RID2990 )

Hilary Umans, MD
Courtesy