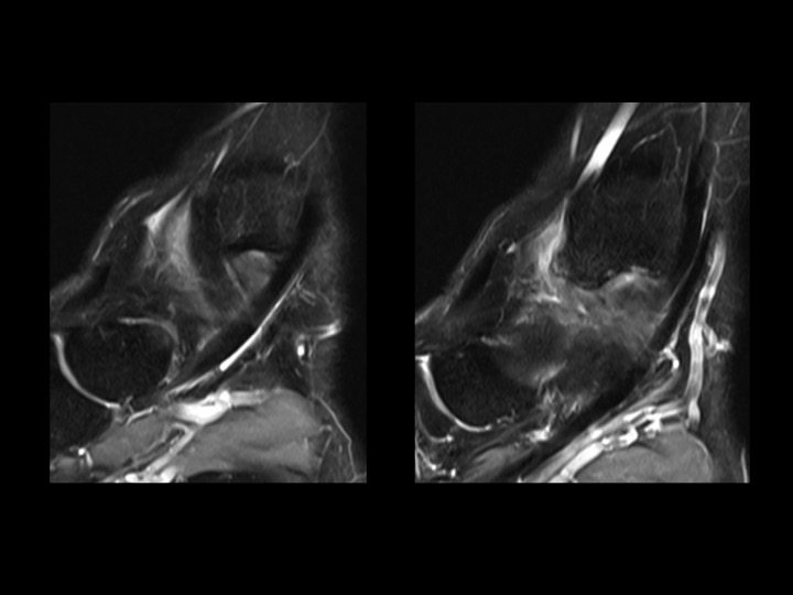
28M basketball injury 6mos ago with pain and tenderness in region of tibialis anterior at anteromedial ankle




This is an uncommon form of ankle impingement characterized by osteophytic spurring at the anterior medial malleolus and adjacent capsular/synovial proliferation and inflammation. The red arrow shows both in slide 1. There is a superimposed partial tear of the posterior (but not anterior) tibiotalar (deep deltoid) ligament, which is separate from this lesion. (note the normal tibialis anterior in slide 1) Reference article.
anteromedial ankle impingement