30M chronic, worsening heel pain





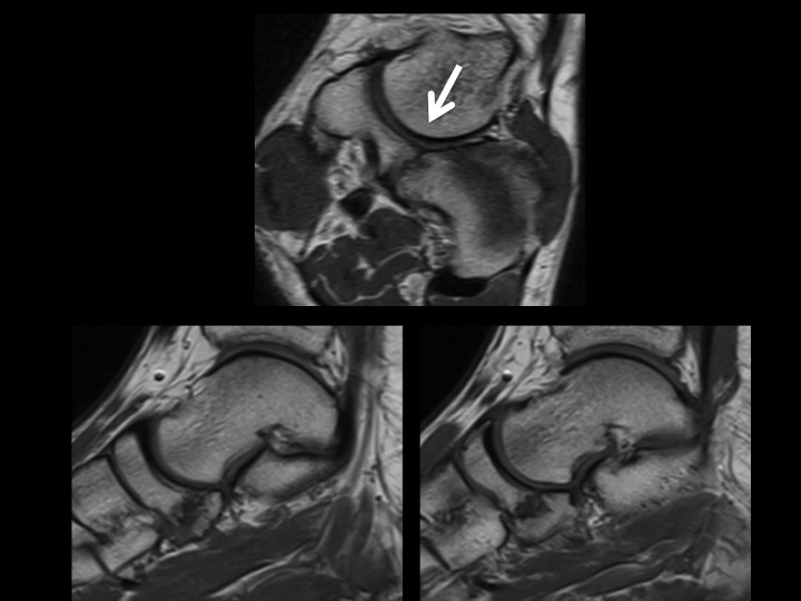
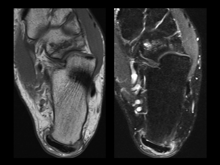
Although there have only been 9 cases of navicular-cuboid coalition reported up to 2012 (up to and including the reference for case #1390), here is another case in a 30M with bilateral non-osseous navicular-cuboid coalition (white arrows; changes more pronounced on the left). He has left-sided Haglunds deformity, which relates to his symptoms. Although the 4 cases reported in the reference from #1390 had midfoot pain, I am struck that this patient, and the 10 yr old from #1390 both present with hindfoot pain. I imagine the midfoot tarsal coalition might have a global impact on foot biomechanics.
navicular-cuboid coalition