



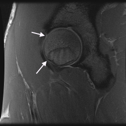
21 year old male with hip pain. Mild FAI on arthrogram with small bump and small anterior labral tear. Also, an accesory ligamentum plica although they can be symtomatic. In figure 3 the long arrow points to the true ligamentum, the short to the accessory ligamentum. In figures 1 and 4 the accessory is shown.
Hip Plica