23F with pain after prior injury




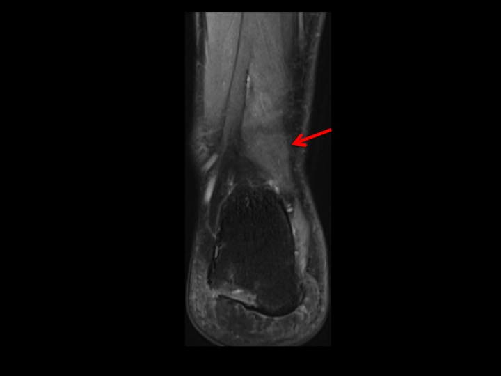
The accessory muscle in question (red arrows) appears to arise from the posterior aspect of the distal fibula. From cranial to caudal it lies lateral then posterolateral to the FHL and inserts onto the quadratus plantae. This does not conform to any of the reported accessory flexor muscles I can find. What would you call it? It shares the same insertion as the FDAL, but does not course superficial to the Posterior Tibial NV bundle. (Did you notice the peroneus quartus? She seems to have too much of everything!) Reference article.
accessory flexor muscle