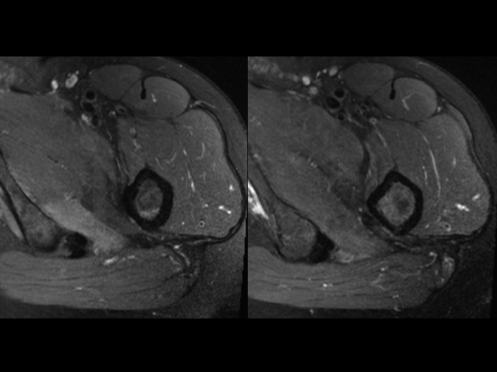
36M with DDH, chronic pain, recent onset more severe pain





I am asking for your thoughts. This is chronic DDH with severe secondary DJD. The femoral head is superiorly migrated with chronic degenerative remodeling of the FH and acetabulum. This brings the posteroinferior acetabular rim and lesser troch into close approximation and appears to cause some sort of impingement. Caudal to that site, there is isolated edema of what is either the Quad Femoris or possibly the Add Magnus (I am confused by the anatomic distortion), which cannot be due to direct muscle friction. I do not know if the Acetabular-Less Troch friction is the direct cause of symptoms, if that is causing nerve impingement, or if there is a muscle strain due to the abnormal stress of the deformity (seems least likely as the deformity is chronic). Please help.
acetabular-femoral impingement