46M 3 years pain, recently worse
-1.jpg)
-2.jpg)
-3.jpg)
-4.jpg)
-5.jpg)
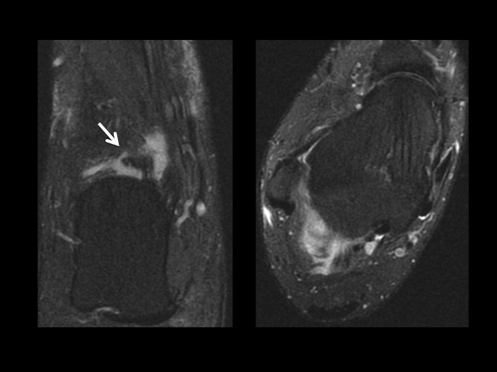
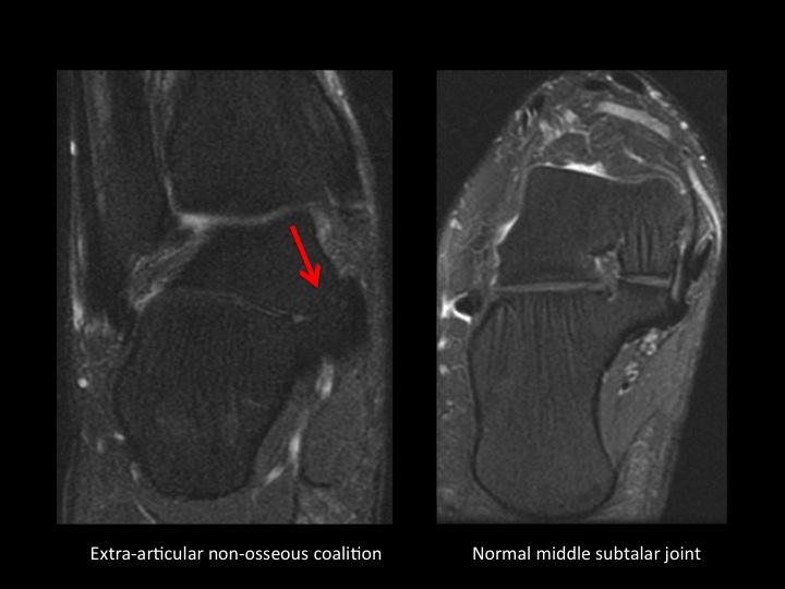
There is an accessory articular facet of the medial talus posterior to the middle facet, with non-osseous extra-articular talocalcaneal coalition (slides 1-2). In slide 3 there is an accessory ligament Ive not seen connecting the lateral tubercle of the posterior talar process and the posterior calcaneal tubercle, with surrounding synovitis (slide 4); does this have a name? As a side question, is there a consensus as to what the cyst-like changes are deep to the angle of Gissane in the calcaneus? Do you all report this? I consider this incidental, does anyone disagree?
talocalcaneal joint ( RID3030 )