OCAD MSK

History

54 y/o with pain and soft tidssue masses of both feet

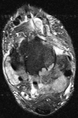
Figure 1 for case Gout arthritis ( RID3567 )
Figure 1
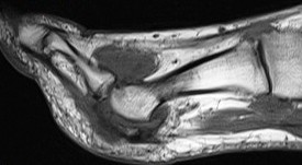
Figure 2 for case Gout arthritis ( RID3567 )
Figure 2
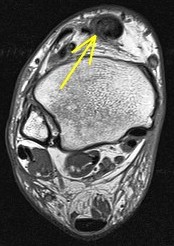
Figure 3 for case Gout arthritis ( RID3567 )
Figure 3
Figure 4 for case Gout arthritis ( RID3567 )
Figure 4
Figure 5 for case Gout arthritis ( RID3567 )
Figure 5
Figure 6 for case Gout arthritis ( RID3567 )
Figure 6

Discussion

Even infiltrating his Tibialis Anterior.

Diagnosis

Gout arthritis ( RID3567 )

Phillip Tirman, MD
Courtesy