OCAD MSK

History

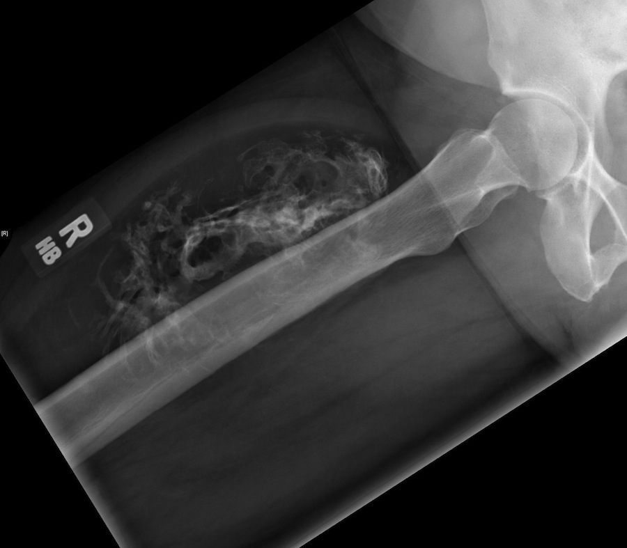
Figure 1 for case Intramuscular lipoma ( RID4350 )
Figure 1
Figure 2 for case Intramuscular lipoma ( RID4350 )
Figure 2

Discussion

Pathology: Intramuscular lipoma with calcifications.

Diagnosis

Intramuscular lipoma ( RID4350 )

Sandip Biswal, MD
Courtesy