OCAD MSK

History

41 y/o asian male with atypical trigger finger. r/o mass

Figure 1 for case gout arthritis ( RID3567 )
Figure 1
Figure 2 for case gout arthritis ( RID3567 )
Figure 2
Figure 3 for case gout arthritis ( RID3567 )
Figure 3
Figure 4 for case gout arthritis ( RID3567 )
Figure 4
Figure 5 for case gout arthritis ( RID3567 )
Figure 5

Discussion

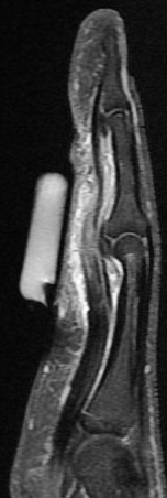
Flexor tenosynovitis, tendon infiltration and also 2nd MCP synovitis with subtle reactive osteitis and early erosive change. My differential was RA vs gout. This is proven gout.

Diagnosis

gout arthritis ( RID3567 )

Phillip Tirman, MD
Courtesy