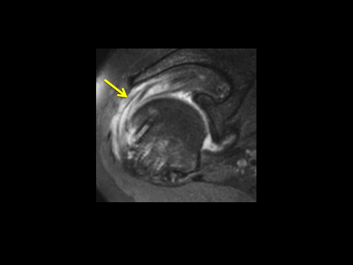
67 yr old female 1 year post RCR with shoulder pain + instability
-1.jpg)
-2.jpg)
-3.jpg)
-4.jpg)
-5.jpg)
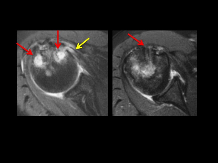
This is always a source of confusion. There are 4 bioabsorbable anchors: 3 entering anterior to posterior at the supraspinatus insertion, 1 related to biceps tenodesis. There is a wide zone of Dark T1/Bright T2 signal with bone resorption surrounding the cuff fixations screw, but not the biceps tenodesis screw (red arrows). The supraspinatus tendon is thick and frayed, but intact. There is partial tearing of the infraspinatus and a small intrasubstance tear at the subscap insertion (yellow arrows). To what extent is the lysis surrounding these screws abnormal (there is some normal degree of lysis as the screws resorb, extrapolating from tunnel widening with ACL graft fixation). Would you report this? What would you say?
fixation device ( RID5471 )