44 y/o male recreational runner. 2 week history of medial pain. r/o mmt.
 with reactive tibial edema-1.jpg)
 with reactive tibial edema-2.jpg)
 with reactive tibial edema-3.jpg)
 with reactive tibial edema-4.jpg)
 with reactive tibial edema-5.jpg)
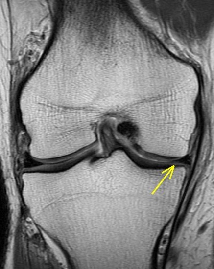
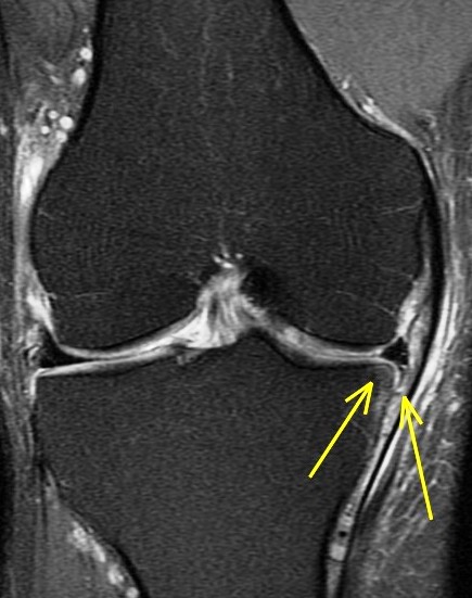
Bone marrow edema is the radiologists friend. The posterior horn tear is easy to see. The displaced meniscus flap into the coronary recess adjacent to the body of the meniscus isnt so easy to see. The presence of bone marrow edema should alert us to the possibility of adjacent pathology leading to the reactive changes in the bone.
Unstable displaced medial meniscus tear( RID2772 ) with reactive tibial edema