OCAD MSK

History

25F runner with pain

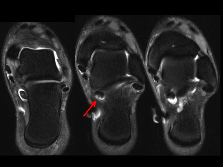
Figure 1 for case FHL partial tear and tenosynovitis
Figure 1
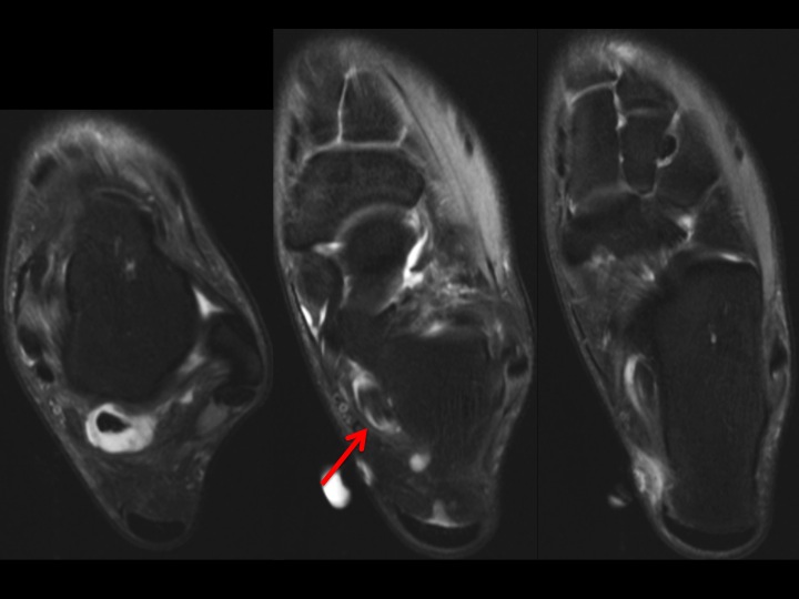
Figure 2 for case FHL partial tear and tenosynovitis
Figure 2
Figure 3 for case FHL partial tear and tenosynovitis
Figure 3

Discussion

There is a low grade partial tear near the level of the subtalar joint with moderate tenosynovitis. Ive seen relatively few FHL tears, and not in this location.

Diagnosis

FHL partial tear and tenosynovitis

Hilary Umans, MD
Courtesy