OCAD MSK

History

42 y/o with elbow pain redness and swelling

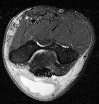
Figure 1 for case olecranon bursitis ( RID2082 )
Figure 1
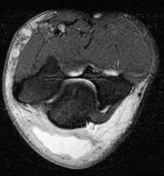
Figure 2 for case olecranon bursitis ( RID2082 )
Figure 2
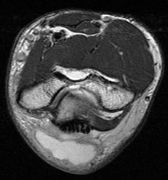
Figure 3 for case olecranon bursitis ( RID2082 )
Figure 3
Figure 4 for case olecranon bursitis ( RID2082 )
Figure 4
Figure 5 for case olecranon bursitis ( RID2082 )
Figure 5

Discussion

Fluid and bursal lining thickening. Area edema. This was non septic. No osteomyelitis. Reference article.

Diagnosis

olecranon bursitis ( RID2082 )

Phillip Tirman, MD PhD
Courtesy