Pain






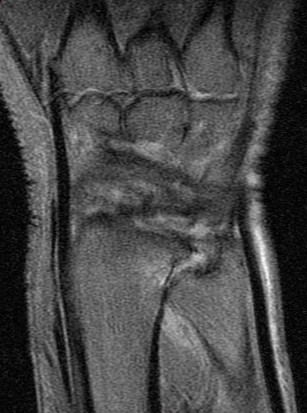
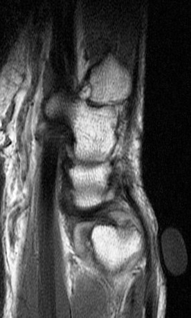
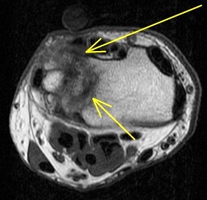
Distinct and different from ulnar impaction syndrome. As Dr. Cerezal points out in this outstanding article: Although the literature frequently uses the terms ulnar impingement and ulnar impaction interchangeably, these entities are not only distinct but mutually exclusive. Ulnar impingement syndrome is caused by a shortened distal ulna that impinges on the distal radius proximal to the sigmoid notch. Reference article.
Ulnar impingement syndrome