R hip pain for six weeks




Pt is a 32 y/o runner with history of R hip stress fx as a teenager.
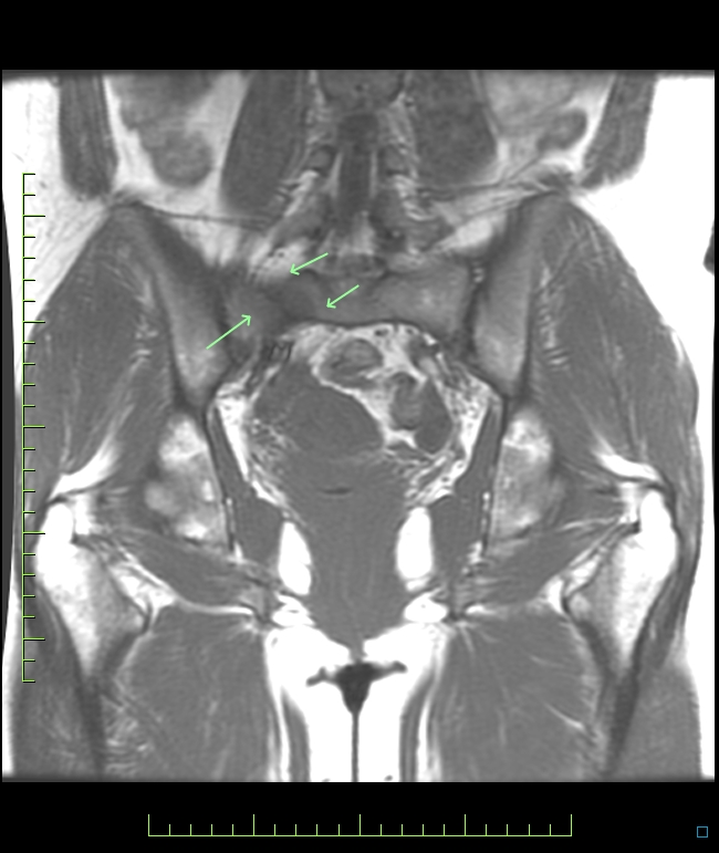
Remember all hip pain doesnt come from the hip. Not shown is edema in the sup pubic rami bilaterally as well.
Small FOV images of the hip only would have missed this.
Clyde and Nancys article attached: numerous case reports reported since Reference article.
R sacral stress fx