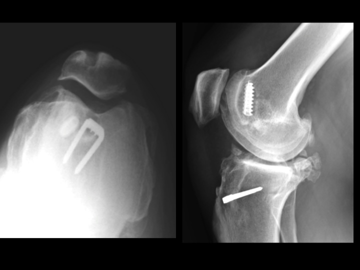
44 yr old female knee pain, previous ACL graft
-1.jpg)
-2.jpg)
The tunnel placement seems deceptively normal in the AP view. Check out the anterior location of the femoral tunnel in the lateral and skyline views. Is this crazy? Is there any circumstance in which this is acceptable? Severe medial OA suggests that it is not OK.
ACL graft device ( RID5523 )