42 yr old female with 8 months burning lateral foot pain after ankle surgery
-1.jpg)
-2.jpg)
-3.jpg)
-4.jpg)
-5.jpg)
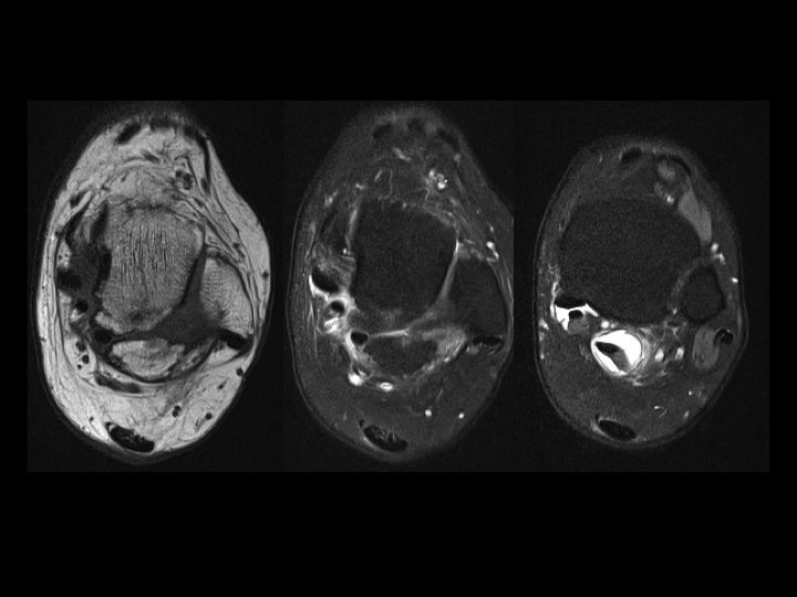
First 2 slides show an enormous os trigonum with posterior ankle impingement and associated FHL tenosynovitis. Latter 3 post op slides should extensive scarring obscuring fat planes in the region of the sural nerve which is presumably encased. Reference article.
sural nerve ( RID7347 )