Stanford MSK Atlas of MSK Measurements

HOME



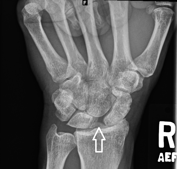
WRIST

DEFINITION:
using the AP view of the wrist, identify distance between scaphoid and lunate. The distance is between the proximal ulnar corner of the scaphoid and the proximal radial corner of the lunate.

ABNORMAL:
if > 4 mm then Terry-Thomas sign; widened ( RID5797 ) carpal joint space

RADLEX:
wrist ( RID2177 ), wrist joint ( RID2202 ), scaphoid bone of hand ( RID2181 ), lunate bone ( RID2187 )
how to draw the scapholunate distance