Stanford MSK Atlas of MSK Measurements

HOME



HIP

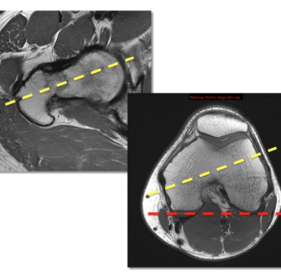
DEFINITION:
angular difference between axis of femoral neck (yellow line) and transcondylar axis of the knee (red line). male avg 8 degrees, female 15 degrees. birth 30-40 degrees anteversion.

ABNORMAL:
if > 20 degrees then excessive femoral anteversion common cause of in-toeing

RADLEX:
femur ( RID2662 )
how to draw the femoral version