Stanford MSK Atlas of MSK Measurements

HOME



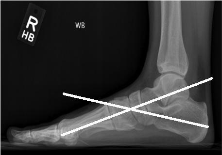
FOOT

DEFINITION:
using the lateral view of the foot, angle formed between the longitudinal axes of the talus ( RID2949) and calcaneus ( RID2959 )

ABNORMAL:
if < 35 degrees then varus deformity ( RID4769 ); clubfoot, cavus foot
if > 50 degrees then valgus deformity ( RID4768 ); congenital vertical talus, skewfoot deformities, flatfoot

RADLEX:
foot or ankle ( RID2944 ), talocalcaneal joint ( RID3030 )
how to draw the lateral talocalcaneal angle