Stanford MSK Atlas of MSK Measurements

HOME



SPINE

DEFINITION:
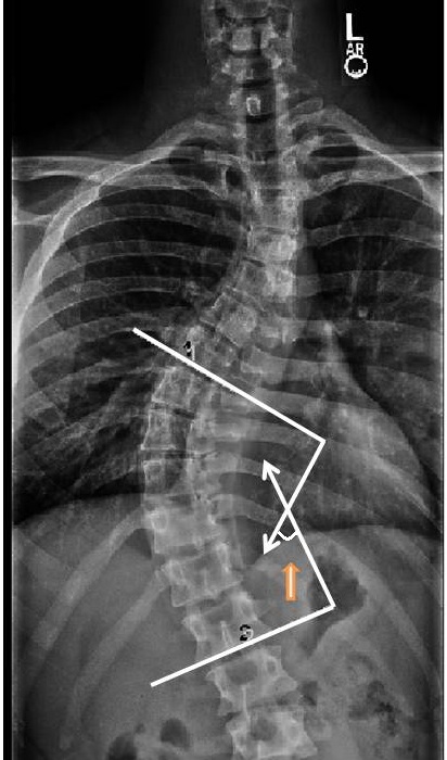
Using the AP view, identify the apex vertebra. Next, identify the end vertebra which have the maximally tilted end plate. Draw a line parallel to the superior and inferior end-plates of the upper and lower end vertebrae, respectively. The cobb angle is the angle between these lines.

ABNORMAL:
if > 10 degrees then scoliosis ( RID4756 ), dextroscoliosis ( RID4757 ), levoscoliosis ( RID4758 ), kyphoscoliosis ( RID4760 )

RADLEX:
spine ( RID7741 ), scoliosis ( RID4756 ), dextroscoliosis ( RID4757 ), levoscoliosis ( RID4758 )
how to draw the cobb angle