Stanford MSK Atlas of MSK Measurements

HOME



ELBOW

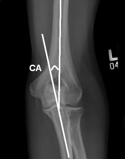
DEFINITION:
angle formed between the long axis of humerus and long axis of the ulna

ABNORMAL:
if < 154 degrees then gunstock deformity
if > 178 degrees then supracondylar fracture ( RID4650 )

RADLEX:
elbow ( RID2010 ), elbow joint ( RID2011 )
how to draw the carrying angle of the elbow