Stanford MSK Atlas of MSK Measurements

HOME



ANKLE

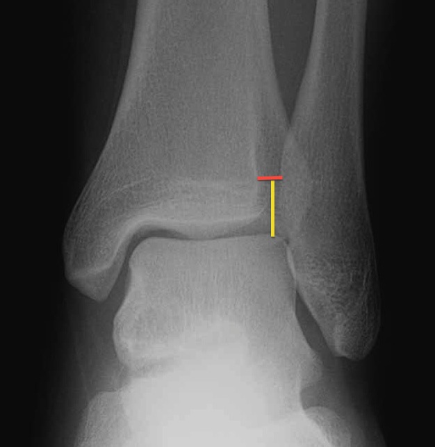
DEFINITION:
using the AP view, measure 1 cm above the tibial plafond (yellow line). lateral clear space is distance btwn lateral border of posterior tibia and medial border of fibula (red line)

ABNORMAL:
if > 5 mm then syndesmosis ( RID6088 ) injury

RADLEX:
ankle joint ( RID3004 ), tibia ( RID2885 ), fibula ( RID2871 )
how to draw the lateral clear space