Stanford MSK Atlas of MSK Measurements

HOME



ANKLE

DEFINITION:
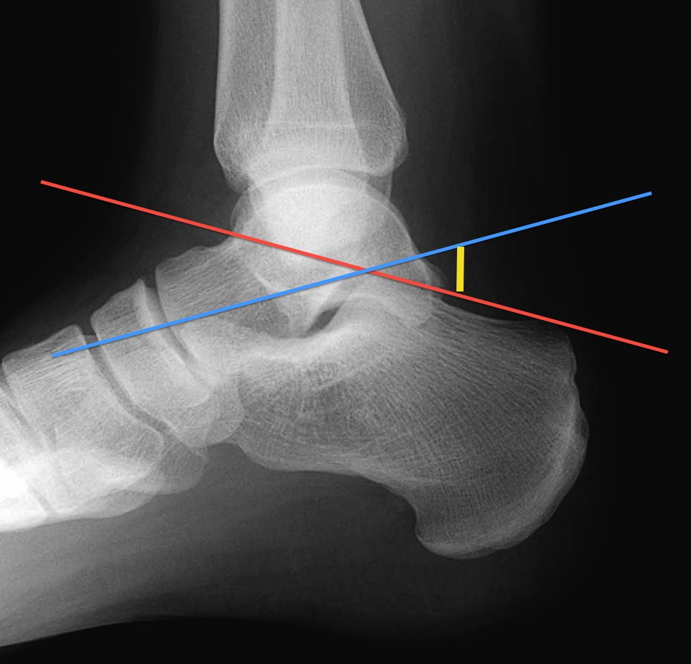
using the lateral view, angle (yellow line) formed by line drawn from posterosuperior calcaneal tuberosity ( RID2962 ) to tip of the posterior facet of the subtalar joint (red line) and line from tip of posterior facet through superior margin of anterior process of calcaneus (blue line).

ABNORMAL:
if < 20 degrees then compression of superior aspect of bone, fracture ( RID4650 ) of calcaneus or of posterior facet

RADLEX:
calcaneus ( RID2959 ), subtalar joint ( RID3029 )
how to draw the boehler angle