Stanford MSK Atlas of MSK Measurements

HOME



ANKLE

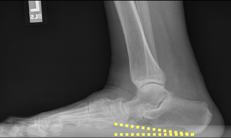
DEFINITION:
angle formed by the horizontal and a line from the base of heel & inferior cortex of calcaneus (figure 1). compare to pes planus (figure 2).

ABNORMAL:
if < 20 degrees then pes planus
if > 25 degrees then pes alta

RADLEX:
calcaneus ( RID2959 )
how to draw the calcaneal pitch